 |
 |
 |
 |
 |
|
 |
 |
 |
| 右耳腫塊 耳道鼓室泡填塞 |
側腦室非對稱性中度擴張
第三四腦輕微擴張 |
|
 |
 |
 |
| 背部腫塊、膽囊結石 |
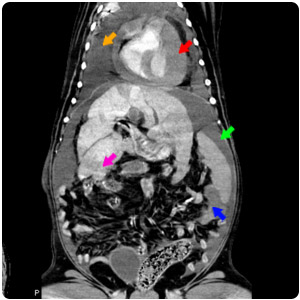
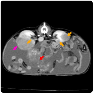
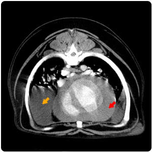
胸腔積液(黃)、心包囊積液(紅)、
肝腫大伴有不均質影像(紫)、腹水(綠)、
脾腫塊(藍) |
|
 |
 |
 |
| Hernia |
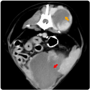
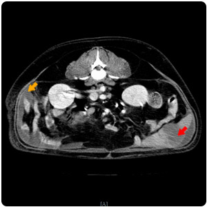
脊椎旁腫塊(黃)、脾腫塊(紅) |
 |
 |
| 腹腔腫塊(紅)、腹水(黃) |
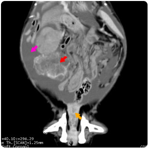
腹水(紫)、腹部腫塊(紅)、子宮殘段(黃) |
 |
 |
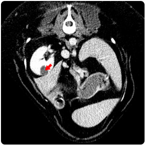
| 腎臟腫塊(紅)、腹水(黃) |
腹水(紫)、腹部腫塊(紅)、腎臟腫塊(黃) |
 |
 |
| 右腎cyst |
胸腔積液(黃)、心包囊積液(紅) |
 |
 |
腹水(黃)、
肝腫大伴有多處不均質斑樣顯像(紅) |
腹水(黃)、脾腫塊(紅) |
|
 |
 |
 |
| 退行性脊椎關節病 sagittal |
退行性脊椎關節病 transverse |
 |
 |
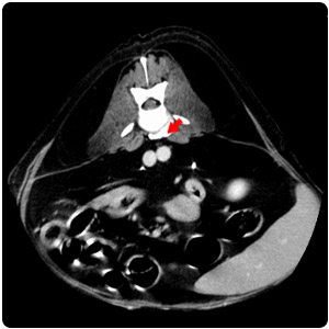
| 脊椎壓迫 transverse |
脊椎壓迫 sagittal |
|